Skip Menu
Continue
  • Home
  • About Us
  • Our Doctors
    • Wendell Granger, DDS
  • Services
      • Dental Fillings
      • Digital Impressions
      • Emergency Treatment
      • Fluoride Treatment
      • Invisalign®
      • Night Guards
      • Oral Exams
      • Pediatric Dentistry
      • Custom Service
    • View All
  • Dental Health
  • Contact
    • Contact Us
    • Request Appointment

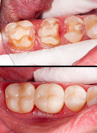
Composite or “Tooth Colored” Fillings